物種
鑑定
● 鑑定時間未知
敏感層級
輕度
紀錄時間
2017-01-28 00:00
地點
24.51,118.41,8
金門縣金沙鎮 金門縣金沙鎮沙青路
金門縣金沙鎮 金門縣金沙鎮沙青路
記錄者
林德恩
數量
1
死因
路殺
類群
標本
未採集標本
補充說明
記錄者:鐘立偉
106.01.28.8點15分
接獲陳長信通報 沙青路死亡水獺一隻
由縣府鐘立偉前往處理
並連絡野動協會歐陽獸醫接續處理後續事宜
屍體檢查報告如下
KWRC Case# D106002
年齡:幼獸 性別:雌性 體重:1.06kg
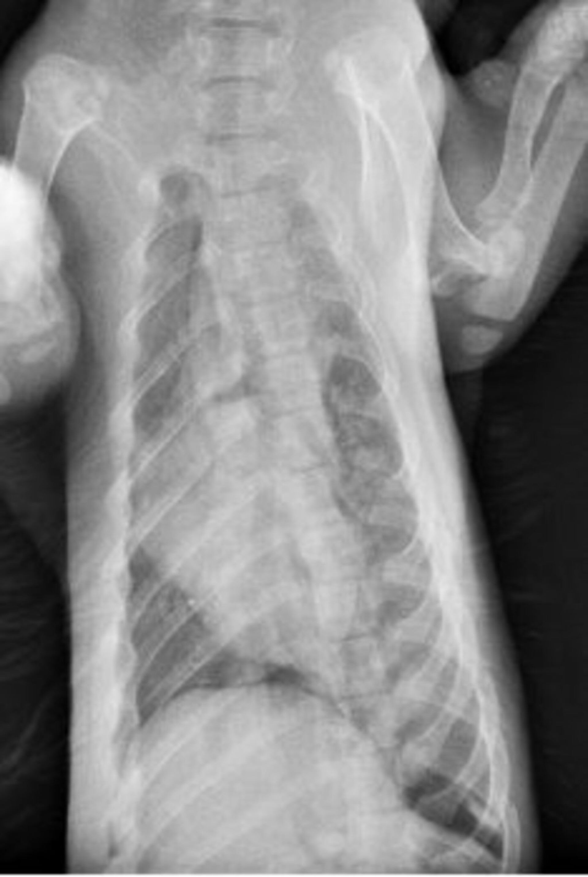
牙齒尚未換成恆久齒。全身長64cm、未含尾長40 cm、胸20 cm、前腳長10cm、後腳長9cm。外表無明顯外傷,頭顱變形,口腔、鼻腔內有血液。
頭骨骨折、下顎骨折、多處肋骨骨折、氣胸。
屍體檢查後處置:採集舌頭肌肉及肝臟供學術單位進行遺傳物質與毒物分析研究。
106.01.28.8點15分
接獲陳長信通報 沙青路死亡水獺一隻
由縣府鐘立偉前往處理
並連絡野動協會歐陽獸醫接續處理後續事宜
屍體檢查報告如下
KWRC Case# D106002
年齡:幼獸 性別:雌性 體重:1.06kg
牙齒尚未換成恆久齒。全身長64cm、未含尾長40 cm、胸20 cm、前腳長10cm、後腳長9cm。外表無明顯外傷,頭顱變形,口腔、鼻腔內有血液。
頭骨骨折、下顎骨折、多處肋骨骨折、氣胸。
屍體檢查後處置:採集舌頭肌肉及肝臟供學術單位進行遺傳物質與毒物分析研究。
鑑定題庫
哺乳類: 學習級 I、學習級 II、學習級 III、學習級 IV、考試級 I、考試級 II
特徵說明: 水獺棲息在淡水環境。頸部短、臉面闊、耳朵相距遠及尾巴長。
授權
照片授權: CC BY (林德恩)
識別號
16500bdb-582b-445d-9c39-11487e65f917 (OccurrenceUUID)
58569 (nid)
58569 (nid)